Bé trai chạy xe đạp điện tông đuôi xe tải bị hít sặc dị vật bất ngờ

30/12/2025 - 09:24

PNO - Bé trai điều khiển xe đạp điện rồi tông vào đuôi xe tải cùng chiều, sau đó khó thở bởi nguyên nhân hy hữu.

Bệnh viện Nhi đồng 1 TPHCM vừa cho biết đã cấp cứu lấy dị vật đường thở cho bé P.V.K. (10 tuổi, ở Cần Thơ) bị chấn thương đầu, ho, khó thở sau tai nạn giao thông.

Theo người nhà của bé, ngày 24/12, bé trai điều khiển xe đạp điện, không đội mũ bảo hiểm rồi va chạm vào đuôi xe tải chạy cùng chiều. Bé có va đập vùng đầu nhưng vẫn tỉnh táo. Sau tai nạn, bé ho và khó thở ít, đưa vào bệnh viện địa phương sơ cứu ban đầu, rồi chuyển đến Bệnh viện Nhi Đồng 1 để tiếp tục điều trị.

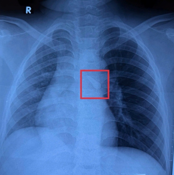
Ghi nhận trên phim Xquang cho thấy bé K. bị sặc dị vật vào khí quản sau tai nạn giao thông, ảnh BVCC
Ghi nhận trên phim X-quang cho thấy bé K. bị sặc dị vật vào khí quản sau tai nạn giao thông - Ảnh: Bệnh viện cung cấp

Kết quả chụp X-quang cho thấy khí quản của bé có một dị vật. Bác sĩ khai thác thêm bệnh sử và phát hiện tại nơi tổn thương vùng hàm mặt ghi nhận bé bị mất răng số 21. Bác sĩ nghĩ đến khả năng va chạm mạnh làm bé bị gãy răng, và hít sặc vào đường thở nhưng bé không cảm nhận được.

Ê-kíp bác sĩ chẩn đoán bé K. vỡ xương sàn ổ mắt, đụng giập nhãn cầu, dị vật đường thở, chấn thương đầu sau tai nạn giao thông, và hội chẩn liên chuyên khoa tìm phương án điều trị tốt nhất cho bé.

Theo đó, ê-kíp bác sĩ chỉ định nội soi đường thở, can thiệp khẩn xử trí nguy cơ tắc nghẽn đường thở, cũng như các biến chứng hô hấp nguy hiểm cho K.

Tiến sĩ, bác sĩ Phú Quốc Việt - Phó khoa Tai mũi họng, Bệnh viện Nhi Đồng 1 - cho biết các bác sĩ đã lấy dị vật ra ngoài an toàn cho bé, là một chiếc răng nằm trong khí quản.

Chiếc răng gãy bị hít vào khí quản được bác sĩ can thiệp nội soi lấy ra ngoài, ảnh BVCC
Chiếc răng gãy bị hít vào khí quản được bác sĩ can thiệp nội soi lấy ra ngoài - Ảnh: Bệnh viện cung cấp

Sau can thiệp, đường thở của bệnh nhi thông thoáng, không ghi nhận chảy máu hay biến chứng. Trẻ tỉnh táo, hô hấp ổn định, ăn uống được, tiếp tục theo dõi tại khoa.

Theo bác sĩ CK1 Lý Phạm Hoàng Vinh - khoa Tai Mũi Họng, Bệnh viện Nhi Đồng 1 - dị vật đường thở ở trẻ em là một tình trạng cấp cứu nguy hiểm, có thể gây suy hô hấp, đe dọa tính mạng nếu không được xử trí kịp thời.

Đặc biệt trong các trường hợp chấn thương vùng hàm mặt, răng gãy hoặc rơi ra có thể bị hít vào đường thở mà không có biểu hiện rõ ràng nên dễ bị bỏ sót.

Do đó, khi trẻ gặp tai nạn hoặc có dấu hiệu nghi ngờ sặc dị vật, gia đình cần đưa trẻ đến cơ sở y tế có chuyên khoa phù hợp càng sớm càng tốt để được chẩn đoán và can thiệp kịp thời.

Phạm An

 

news_is_not_ads=
TIN MỚI