Bé gái mắc bệnh hiếm gặp được cứu sống ngoạn mục

06/11/2025 - 10:44

PNO - Bệnh viện Nhi Đồng 1 đã cứu sống bé gái hôn mê do vỡ dị dạng mạch máu não trên nền bệnh cơ tim hiếm gặp.

Sáng 6/11, Bệnh viện Nhi Đồng 1 (TPHCM) cho biết các bác sĩ đã cứu sống thành công bé H.T.T.T. (13 tuổi) bị vỡ dị dạng mạch máu não trên nền bệnh lý cơ tim xốp.

Theo đó, sáng ngày 5/10, bé T. đang ngủ thì thở ngược, hôn mê, được người nhà phát hiện đưa vào Bệnh viện Hóc Môn. Các bác sĩ khám, chẩn đoán bé hôn mê nghi do xuất huyết não, sốc tim và đặt nội khí quản, sử dụng thuốc vận mạch cấp cứu rồi chuyển bé đến khoa Cấp cứu, Bệnh viện Nhi Đồng 1.

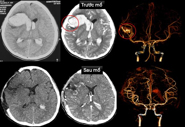
Tại đây, các bác sĩ ghi nhận bé T. hôn mê sâu, thở máy qua nội khí quản, nhịp chậm, huyết áp thấp đang duy trì thuốc vận mạch. Bệnh nhân được siêu âm tim, chụp cắt lớp vi tính sọ não dựng hình mạch máu não cấp cứu, và chẩn đoán dị dạng động tĩnh mạch trán phải vỡ gây xuất huyết nhu mô não, lan vào hệ thống não thất, sốc tim, rối loạn nhịp, bệnh cơ tim xốp.

Hình ảnh chụp cắt lớp vi tính sọ não, dựng hình mạch máu não trước và sau mổ  của bé T., ảnh BV Nhi Đồng 1
Hình ảnh chụp cắt lớp vi tính sọ não, dựng hình mạch máu não trước và sau mổ của bé T. Ảnh: BV Nhi Đồng 1

Ngay lập tức, bé được hội chẩn đa chuyên khoa. Các bác sĩ chia thành nhiều ê-kíp cấp cứu cho bé. Trong đó, bác sĩ tim mạch can thiệp đặt máy tạo nhịp tạm thời, bác sĩ ngoại thần kinh phẫu thuật cấp cứu mở sọ giải áp, xử lý dị dạng mạch máu não, lấy máu tụ trong nhu nhô não và não thất.

Sau mổ, bé T. được chuyển khoa hồi sức ngoại điều trị hồi sức tích cực, thông khí cơ học, sử dụng thuốc vận mạch, chống phù não.

Đến nay, sức khỏe của bé đã dần ổn định, bé tỉnh táo, còn yếu nhẹ chân phải, đã được rút máy tạo nhịp tim và ngưng thuốc vận mạch. Chẩn đoán hình ảnh sau mổ không còn ghi nhận dị dạng mạch máu não, bệnh cơ tim xốp cải thiện.

TS.BS Trần Minh Huy - Khoa Ngoại Thần kinh, Bệnh viện Nhi Đồng 1 - cho biết, dị dạng động tĩnh mạch não ở trẻ em ước tính chỉ chiếm khoảng 0,01% dân số. Tuy nhiên đây là nguyên nhân hàng đầu gây đột quỵ xuất huyết não ở trẻ.

Đa phần các bệnh nhân có dị dạng động tĩnh mạch não không gây triệu chứng, chỉ được phát hiện khi vỡ. Bên cạnh đó, bệnh cơ tim xốp là một bệnh lý tim mạch hiếm gặp, đặc trưng bởi sự phát triển không hoàn chỉnh của quá trình nén chặt cơ tim trong giai đoạn hình thành tim, khiến thành cơ tim – đặc biệt là ở thất trái – xuất hiện các bè cơ dày và những hốc sâu bất thường.

Bệnh có thể xuất hiện đơn độc hoặc phối hợp với các dị tật tim bẩm sinh hoặc các hội chứng di truyền. Biểu hiện rất thay đổi, từ không triệu chứng đến suy tim, loạn nhịp tim hoặc đột tử.

“Việc phối hợp hai bệnh hiếm là dị dạng mạch máu não và bệnh cơ tim xốp trên cùng một bệnh nhân rất hy hữu và được báo cáo rất ít trong y văn. Ở trường hợp bệnh nhân này, hai bệnh lý đều không biểu hiện triệu chứng. Chỉ khi dị dạng động tĩnh mạch não vỡ gây xuất huyết não, tăng áp lực nội sọ đột ngột mới gây ra tình trạng mất bù trên hệ thống tim mạch.

Thành công cứu chữa nhờ Bệnh viện Hóc Môn đã phát hiện, cấp cứu và chuyển đến Bệnh viện Nhi Đồng 1 kịp thời, cũng như sự nỗ lực của ê-kíp bác sĩ các chuyên khoa đã giúp chẩn đoán, can thiệp sớm giúp cứu sống bệnh nhi” - bác sĩ Huy nói.

Phạm An

 

news_is_not_ads=
TIN MỚI