Bác sĩ FV giành lại sự sống cho cụ bà U90 bị rò âm đạo trực tràng

29/12/2025 - 08:59

PNO - Cụ bà 88 tuổi bị rò âm đạo trực tràng - căn bệnh khá hy hữu trong y văn thế giới. Thông thường, hướng điều trị chuẩn cho trường hợp hiếm gặp này là cắt bỏ toàn bộ tử cung và đại tràng, kèm đặt hậu môn nhân tạo vĩnh viễn. Nhưng với một bệnh nhân 88 tuổi, phương án đó đầy rủi ro. Bác sĩ FV đã chọn cách tối ưu hơn…

Cơn đau âm ỉ và căn bệnh hiếm gặp trong y văn thế giới

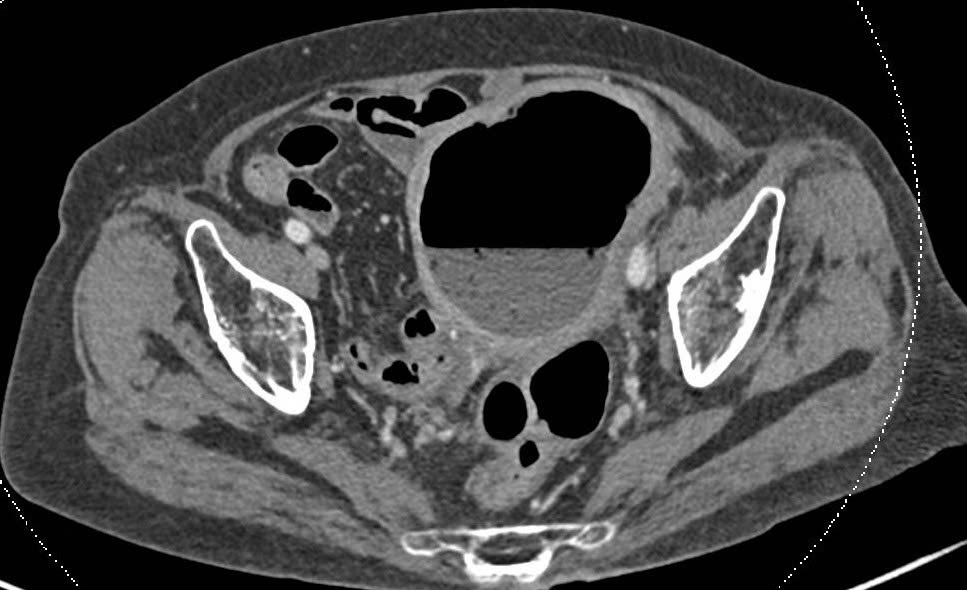
Cụ M.T.M. (88 tuổi, TPHCM) được người nhà đưa đến Bệnh viện FV trong tình trạng sốt, đau bụng âm ỉ không dứt, âm đạo tiết dịch mủ. ThS.BS Lê Đức Tuấn - Khoa Ngoại tổng quát chỉ định chụp CT ổ bụng. Hình ảnh cho thấy tử cung to bất thường, chứa đầy dịch và khí. Cụ được chỉ định nội soi đại tràng và lòng tử cung, kết quả khẳng định: phân xuất hiện trong khoang tử cung - dấu hiệu của rò âm đạo trực tràng, nếu không được xử lý kịp thời sẽ nguy hiểm tới tính mạng.

Phim chụp CT cho thấy tử cung có kích thước lớn bất thường, chứa nhiều khí và dịch. Ảnh: FV
Phim chụp CT cho thấy tử cung có kích thước lớn bất thường, chứa nhiều khí và dịch. Ảnh: FV

Bác sĩ Tuấn cho biết, đại tràng của cụ có rất nhiều túi thừa dài tới 25cm - do bẩm sinh hoặc táo bón lâu ngày khiến phân dễ bị ứ đọng, gây nhiễm trùng, viêm và hình thành áp xe nặng, dẫn đến vấn đề lỗ rò đại trực tràng.

Theo y văn thế giới, hướng điều trị chuẩn cho trường hợp hiếm gặp này là cắt bỏ toàn bộ tử cung và đại tràng, kèm đặt hậu môn nhân tạo vĩnh viễn. Nhưng với một bệnh nhân 88 tuổi, phương án đó đầy rủi ro.

“Chúng tôi muốn bảo tồn tối đa cơ quan của bệnh nhân, hạn chế tổn thương và giúp cụ vẫn có thể sinh hoạt bình thường” - bác sĩ Tuấn chia sẻ.

Cuộc hội chẩn quy tụ các chuyên gia của khoa Ngoại tổng quát, khoa Tiêu hóa và khoa Sản, thống nhất chọn hướng đi táo bạo: chia hành trình điều trị thành ba ca phẫu thuật liên tiếp, trong đó ứng dụng thiết bị bấm kim phẫu thuật Endo GIA hiện đại để xử lý chính xác và ít xâm lấn nhất.

Đối với bệnh nhân lớn tuổi có tốc độ lành thương chậm, nếu không được cung cấp đủ dinh dưỡng, mô sẽ không thể lành nhanh được. Do vậy, bác sĩ Tuấn đã mời bác sĩ dinh dưỡng thiết lập một chế độ ăn uống khoa học cho cụ, bổ sung các chất dinh dưỡng thiết yếu để chuẩn bị cho cuộc mổ.

ThS.BS Lê Đức Tuấn - khoa Ngoại tổng quát, Bệnh viện FV tư vấn cho người nhà bệnh nhân về ca mổ - Ảnh: FV
ThS.BS Lê Đức Tuấn - khoa Ngoại tổng quát, Bệnh viện FV tư vấn cho người nhà bệnh nhân về ca mổ - Ảnh: FV

Bảo tồn tối đa cơ quan cho bệnh nhân lớn tuổi qua 3 ca mổ

Ca mổ đầu tiên được thực hiện với mục tiêu chuyển hướng dòng phân ra ngoài qua hậu môn nhân tạo, giúp phần dưới cơ thể được “nghỉ ngơi” và sạch khuẩn.

10 ngày sau, BS. Tuấn thực hiện phẫu thuật lần 2 cho bệnh nhân bằng phương pháp nội soi, với sự tham gia của bác sĩ sản khoa và bác sĩ tiêu hóa. Mục tiêu điều trị lần này là cắt đoạn dính 2 cơ quan. Bác sĩ Tuấn sử dụng Endo GIA stapler cắt và khâu tự động, xử lý triệt để đoạn rò rỉ. Đoạn ruột già có túi thừa dài khoảng 25cm cũng được cắt bỏ ngay trong ca mổ.

Ca phẫu thuật có sự phối hợp đa chuyên khoa giúp nâng cao tỉ lệ thành công cho bệnh nhân - Ảnh: FV
Ca phẫu thuật có sự phối hợp đa chuyên khoa giúp nâng cao tỉ lệ thành công cho bệnh nhân - Ảnh: FV

“Trải qua 2 ca mổ, bệnh nhân xem như đã thành công được 2/3 đoạn đường. Lúc này, chúng tôi tiếp tục theo dõi tiến trình hồi phục của cụ bà đồng thời chuẩn bị cho ca mổ thứ 3” - bác sĩ Tuấn cho hay.

Khi sức khỏe của bệnh nhân ổn định, ca mổ thứ ba được tiến hành. Bác sĩ Tuấn thực hiện thủ thuật đóng hậu môn nhân tạo, nối lại đoạn ruột cho phân đi xuống bằng đường hậu môn. Ca mổ diễn ra suôn sẻ.

Ba ca mổ được thực hiện trong vòng hơn 2 tháng đã giúp cụ bà thoát khỏi căn bệnh phức tạp, hồi phục nhanh. Trong lần tái khám gần nhất sức khỏe của cụ đã ổn định, gia đình cho biết cụ đã có thể trở về nhịp sinh hoạt bình thường.

Đánh giá về ca điều trị này, bác sĩ Lê Đức Tuấn nhận định, đây là thành công nhờ sự nỗ lực của ê-kíp bác sĩ FV đã phối hợp đa chuyên khoa và chăm sóc toàn diện, ưu tiên lựa chọn phương án điều trị bảo tồn, ít xâm lấn, mang lại hiệu quả tốt nhất cho người bệnh.

“Các cuộc mổ có sự phối hợp đa chuyên khoa giúp nâng cao tỉ lệ thành công, điều này Bệnh viện FV trước giờ làm rất tốt” - bác sĩ Lê Đức Tuấn cho hay.

Bên cạnh đó, với quy trình kiểm soát nhiễm khuẩn nghiêm ngặt đạt chuẩn JCI (Chứng nhận chất lượng y tế quốc tế mà FV được công nhận 4 lần liên tiếp), tỉ lệ nhiễm trùng vết mổ được kiểm soát ở mức chỉ 0,2% - con số mà ít bệnh viện nào đạt được. Công tác chăm sóc hậu phẫu chu đáo cùng chế độ dinh dưỡng đảm bảo cho người bệnh hồi phục nhanh chóng sau các ca mổ phức tạp.

Bệnh viện FV tự hào đạt Chứng nhận chất lượng y tế thế giới JCI 4 lần liên tiếp - Ảnh: FV
Bệnh viện FV tự hào đạt Chứng nhận chất lượng y tế thế giới JCI 4 lần liên tiếp - Ảnh: FV

Bạn đọc muốn tham khảo thông tin về các dịch vụ y tế tại Bệnh viện FV có thể đến trực tiếp số 6 Nguyễn Lương Bằng, phường Tân Mỹ (Quận 7 cũ), TPHCM, hotline (028) 3511 3333.

Châu Thanh

Nguồn: FV

 

news_is_not_ads=
TIN MỚI