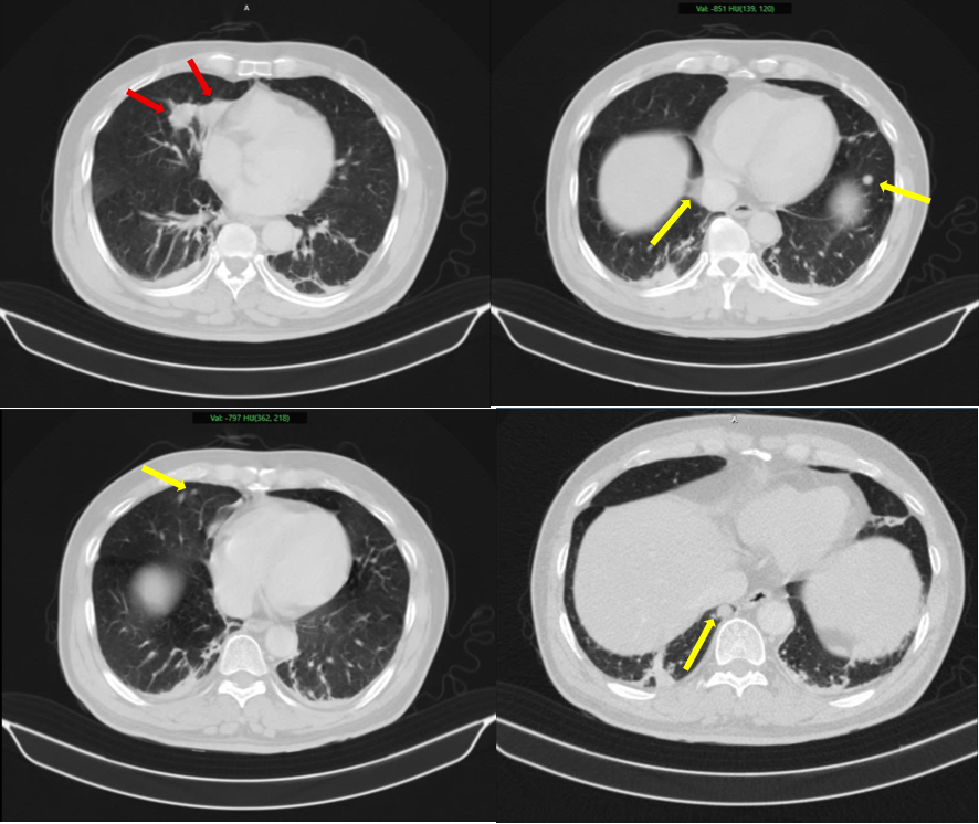
PNO - Người đàn ông phát hiện mắc cùng lúc hai loại ung thư nhưng có nguồn gốc hoàn toàn khác nhau, không phải di căn chéo.
| Chia sẻ bài viết: |
Tính đến 10g ngày 24/3, ngành y tế Quảng Ngãi ghi nhận 19 bệnh nhân đến khám và điều trị tại các bệnh viện nghi ngộ độc thực phẩm do bánh mì.
Prospan được mệnh danh là dòng thuốc quốc dân được hàng triệu gia đình Việt tin chọn. Sản phẩm được chiết xuất từ lá thường xuân...
Điều kiện cần để phẫu thuật xóa cận là bệnh nhân phải từ đủ 18 tuổi, độ cận ổn định...
Sáng 24/3, lãnh đạo Sở Y tế Quảng Ngãi cho biết vừa ghi nhận 17 ca bệnh nhập viện nghi ngộ độc thực phẩm do ăn bánh mì.
Sau khi uống rượu có nhãn mác "Mao Đài" nhưng không rõ nguồn gốc, người đàn ông hôn mê sâu, thở ngáp, ngừng tuần hoàn.
Sự hiện diện của hệ thống Phòng khám da liễu Pensilia tại thành phố biển Vũng Tàu hứa hẹn mang đến những giải pháp điều trị chuyên khoa chuẩn y khoa ...
Sau khi thăm khám, các bác sĩ bàng hoàng phát hiện toàn bộ dạ dày của bệnh nhân đã bị kéo giãn, lộn ngược và thoát vị hoàn toàn lên lồng ngực.
Tình hình căng thẳng tại Trung Đông có nguy cơ ảnh hưởng đến chuỗi cung ứng thuốc, nguyên liệu làm thuốc và hoạt động vận chuyển, thương mại quốc tế.
Tiếp xúc với các chất per- và polyfluoroalkyl (PFAS) ngay từ khi còn nhỏ có thể ảnh hưởng tiêu cực đến quá trình phát triển xương của trẻ trong tuổi dậy thì.
Nếu tuân thủ điều trị, chạy thận nhân tạo theo chỉ định của bác sĩ, cùng tinh thần lạc quan, người bệnh vẫn có thể sinh hoạt gần như bình thường.
Ngày 22/3, nhờ nghĩa cử của người hiến, 6 người bệnh suy tim, gan, phổi, thận... đã được hồi sinh. Phía sau đó, là một câu chuyện cảm động, nghẹn ngào.
Trung tâm Kiểm soát bệnh tật thành phố cho biết số ca mắc sốt xuất huyết giảm nhẹ, nhưng bệnh tay chân miệng lại tăng đáng kể.
Cùng với những bức vẽ đầy màu sắc, các bé tại khoa Nhi tổng hợp đã gửi ước mơ của mình vào những chú hạc giấy dễ thương.
Phú Quốc ghi nhận thêm 1 trường hợp bị nhiễm viêm não mô cầu. Bệnh nhân đang điều trị tại Bệnh viện Bệnh Nhiệt đới TPHCM, sức khỏe ổn định.
Gần 550 triệu đồng đã được trao để hỗ trợ bệnh nhân khó khăn tại Bệnh viện Trung ương Huế.
Chuyên gia Bệnh viện Bạch Mai chỉ dấu hiệu mà gần 70% người bệnh mắc phải đều được chẩn đoán mắc ung thư phổi, căn bệnh có tỉ lệ tử vong cao.
Bé trai 5 tuổi đi tiểu buốt, tưởng viêm bàng quang đơn thuần mà không ngờ thủ phạm là món đồ chơi quen thuộc đối với nhiều trẻ em.
Sau 3 ca bệnh nguy kịch phải nhận thuốc viện trợ của WHO, TP Đà Nẵng lại tiếp tục ghi nhận thêm 2 trường hợp nghi ngộ độc cá ủ chua.