PNO - Chuyên gia Bệnh viện Bạch Mai chỉ dấu hiệu mà gần 70% người bệnh mắc phải đều được chẩn đoán mắc ung thư phổi, căn bệnh có tỉ lệ tử vong cao.
| Chia sẻ bài viết: |
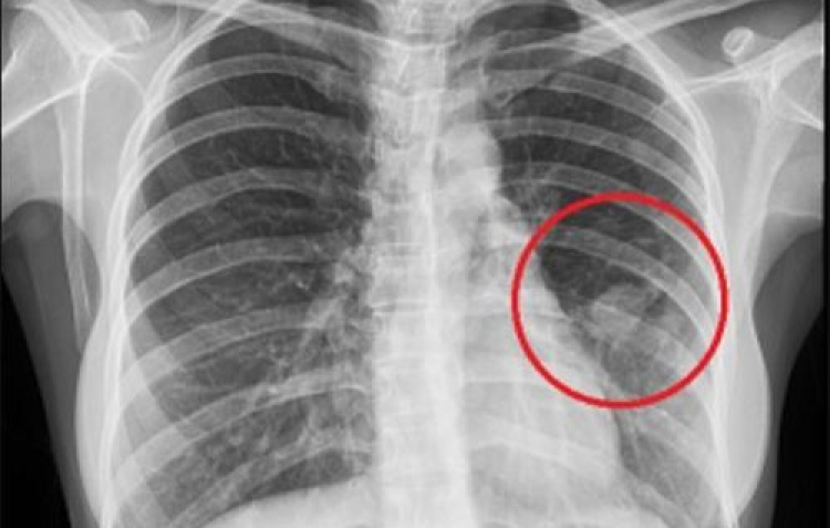
Người đàn ông phát hiện mắc cùng lúc hai loại ung thư nhưng có nguồn gốc hoàn toàn khác nhau, không phải di căn chéo.
Thi thoảng đau âm ỉ vùng dưới xương ức, hạ sườn phải, nữ bệnh nhân trẻ nghĩ bình thường, không ngờ khi đi khám, bác sĩ yêu cầu phẫu thuật.
Sáng 25/3, Bệnh viện Trung ương Huế vừa tổ chức lễ ra viện cho ca ghép tủy Thalassemia thứ 15 với nguồn tủy lấy từ chị ruột.
Sự đồng hành của phòng công tác xã hội bệnh viện không chỉ giúp bệnh nhân vượt qua khó khăn, mà còn tiếp thêm niềm tin để giành lại sự sống.
Nghiên cứu cảnh báo việc tiêu thụ nhiều thực phẩm siêu chế biến như snack, nước ngọt, đồ đông lạnh có thể làm tăng 67% nguy cơ đột quỵ và đau tim.
Cục An toàn thực phẩm (Bộ Y tế) yêu cầu điều tra vụ 19 người bị ngộ độc sau khi ăn bánh mì tại xã Tịnh Khê (tỉnh Quảng Ngãi).
Tính đến 10g ngày 24/3, ngành y tế Quảng Ngãi ghi nhận 19 bệnh nhân đến khám và điều trị tại các bệnh viện nghi ngộ độc thực phẩm do bánh mì.
Prospan được mệnh danh là dòng thuốc quốc dân được hàng triệu gia đình Việt tin chọn. Sản phẩm được chiết xuất từ lá thường xuân...
Điều kiện cần để phẫu thuật xóa cận là bệnh nhân phải từ đủ 18 tuổi, độ cận ổn định...
Sáng 24/3, lãnh đạo Sở Y tế Quảng Ngãi cho biết vừa ghi nhận 17 ca bệnh nhập viện nghi ngộ độc thực phẩm do ăn bánh mì.
Sau khi uống rượu có nhãn mác "Mao Đài" nhưng không rõ nguồn gốc, người đàn ông hôn mê sâu, thở ngáp, ngừng tuần hoàn.
Sự hiện diện của hệ thống Phòng khám da liễu Pensilia tại thành phố biển Vũng Tàu hứa hẹn mang đến những giải pháp điều trị chuyên khoa chuẩn y khoa ...
Sau khi thăm khám, các bác sĩ bàng hoàng phát hiện toàn bộ dạ dày của bệnh nhân đã bị kéo giãn, lộn ngược và thoát vị hoàn toàn lên lồng ngực.
Tình hình căng thẳng tại Trung Đông có nguy cơ ảnh hưởng đến chuỗi cung ứng thuốc, nguyên liệu làm thuốc và hoạt động vận chuyển, thương mại quốc tế.
Tiếp xúc với các chất per- và polyfluoroalkyl (PFAS) ngay từ khi còn nhỏ có thể ảnh hưởng tiêu cực đến quá trình phát triển xương của trẻ trong tuổi dậy thì.
Nếu tuân thủ điều trị, chạy thận nhân tạo theo chỉ định của bác sĩ, cùng tinh thần lạc quan, người bệnh vẫn có thể sinh hoạt gần như bình thường.
Ngày 22/3, nhờ nghĩa cử của người hiến, 6 người bệnh suy tim, gan, phổi, thận... đã được hồi sinh. Phía sau đó, là một câu chuyện cảm động, nghẹn ngào.
Trung tâm Kiểm soát bệnh tật thành phố cho biết số ca mắc sốt xuất huyết giảm nhẹ, nhưng bệnh tay chân miệng lại tăng đáng kể.