Bác sĩ FV dùng robot Da Vinci Xi bóc tách thành công khối u dạ dày to bằng nắm tay

24/04/2026 - 14:49

PNO - Từ một cơn đau bụng bất ngờ, nữ bệnh nhân 67 tuổi được phát hiện khối u lớn dính tụy, hoại tử. Ca phẫu thuật kéo dài 5 giờ với ê-kíp bác sĩ FV và “trợ thủ” đắc lực robot Da Vinci Xi giúp bóc tách trọn vẹn khối u mà không cần mổ hở, mở ra cơ hội hồi phục nhanh chóng.

10 năm mới khám sức khỏe trở lại: Phát hiện khối u hoại tử nguy hiểm từ cơn đau bụng bất thường

Khi cơn đau bụng ập đến, bà H.T (67 tuổi, sống tại TPHCM) vẫn cố gắng chịu đựng, tự trấn an mình rằng đó chỉ là vấn đề dạ dày thông thường, nghỉ ngơi rồi sẽ qua. Nhưng đến khi cơn đau dồn dập và dữ dội hơn, khiến bà không thể đứng vững, gia đình lập tức đưa bà H.T vào cấp cứu tại Bệnh viện FV.

Gần 10 năm không khám bệnh, không có bất kỳ dấu hiệu bất thường nào về sức khỏe, bà H.T gần như không tin vào tai mình khi bác sĩ thông báo: Dạ dày bà có một khối u lớn cỡ nắm tay người trưởng thành.

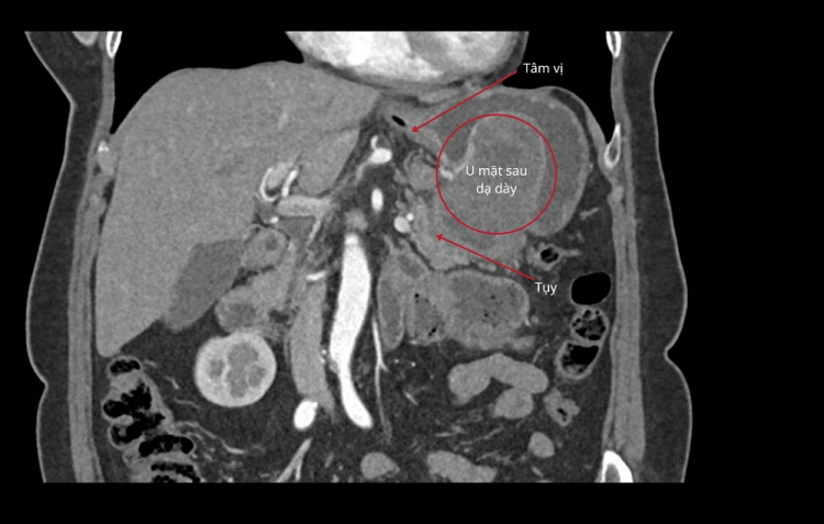
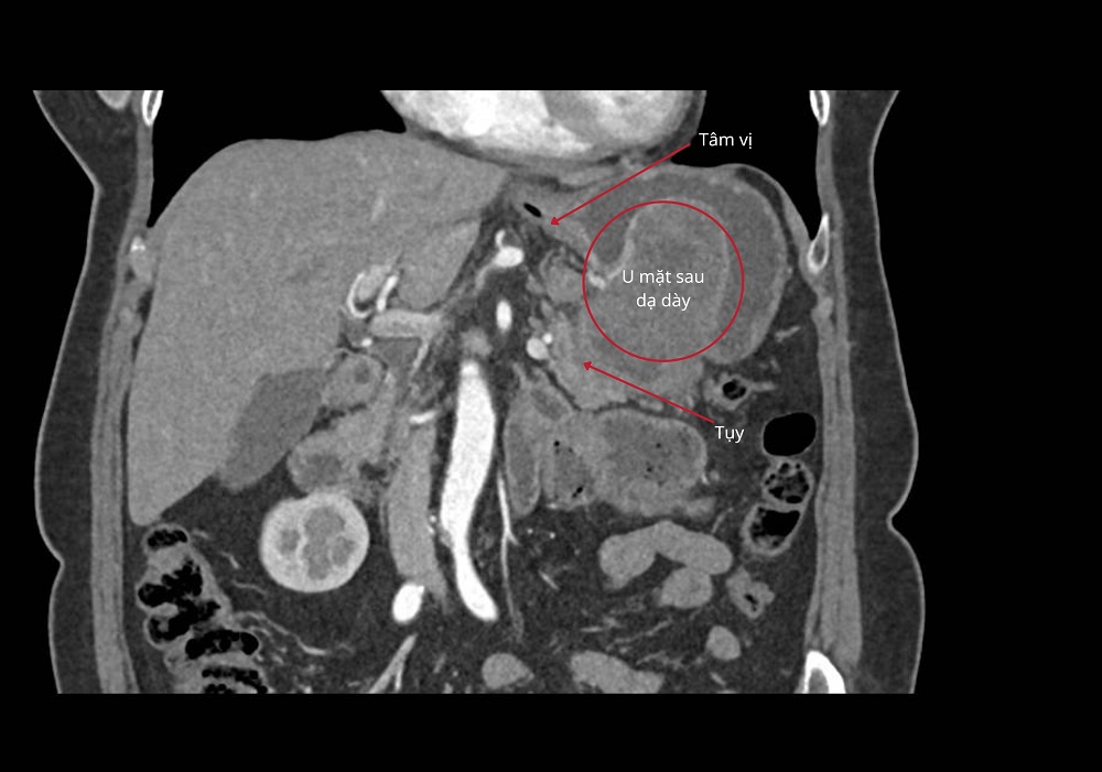
Khối u GIST dính vào tụy và mặt sau dạ dày gần tâm vị
Khối u GIST dính vào tụy và mặt sau dạ dày gần tâm vị

Theo ThS.BS CKII Phan Văn Thái - Trưởng khoa Ngoại Tổng quát (Bệnh viện FV), khối u mô đệm (GIST) của bệnh nhân H.T có kích thước khoảng 5x5x7cm. Tuy nhiên, điều đáng lo ngại là ở vị trí và cấu trúc phức tạp của nó: khối u nằm khuất ở mặt sau dạ dày, sát tâm vị, dính vào bề mặt tụy và đã hoại tử khoảng 30% - những yếu tố khiến việc can thiệp trở nên đặc biệt thách thức.

“Với tính chất và vị trí khối u như vậy, phẫu thuật nội soi thông thường rất khó thực hiện. Nếu như trước đây, bệnh nhân gần như chắc chắn phải đối diện với một ca mổ hở, đi kèm nguy cơ mất máu lớn cũng như tổn thương các cơ quan lân cận” - bác sĩ Thái nhận định.

Ca mổ bằng robot kéo dài 5 giờ, bóc trọn khối u dính tụy

May mắn, cô H.T nhập viện đúng thời điểm Bệnh viện FV vừa ra mắt Trung tâm Phẫu thuật Robot FV Da Vinci, ứng dụng một trong những nền tảng phẫu thuật robot tiên tiến hàng đầu thế giới. Theo bác sĩ Phan Văn Thái, hệ thống Robot Da Vinci Xi được xem là bước tiến lớn trong ngoại khoa hiện đại, khắc phục hoàn toàn những hạn chế của mổ hở và nội soi truyền thống.

Nhờ khả năng xâm lấn tổi thiểu (vết mổ chỉ khoảng 8mm), kỹ thuật mổ bằng robot giảm nguy cơ chảy máu, bảo tồn tối đa mô lành và giúp người bệnh hồi phục nhanh.

Ca phẫu thuật cắt hình chêm dạ dày diễn ra trong 5 giờ đồng hồ. Bác sĩ Phan Văn Thái phải tiến hành từng bước cẩn trọng, bóc tách từng lớp mô mỏng để “lột” khối u khỏi tụy mà không gây tổn thương các cấu trúc xung quanh hoặc làm vỡ phần mô đã hoại tử. Với sự hỗ trợ của robot Da Vinci Xi, hình ảnh 3D và được phóng đại 10 lần giúp nhìn rõ từng sợi tơ của mô liên kết, trong khi các cánh tay robot có thể xoay - duỗi - gập 540 độ, luồn lách siêu hạng trong phạm vi hẹp và giữ ổn định trong thời gian dài nhờ khả năng chống rung tuyệt đối, cho phép thao tác chính xác liên tục. Nhờ đó, khối u được bóc tách trọn vẹn, hệ thống hạch được nạo sạch và không xảy ra tình trạng mất máu.

Kết quả xét nghiệm giải phẫu bệnh cho thấy nguy cơ tái phát thấp. Đặc biệt, bệnh nhân H.T không cần phải thực hiện hóa trị hay uống thuốc điều trị lâu dài.

Bác sĩ Phan Văn Thái điều khiển robot bóc tách khối u cho bệnh nhân - Ảnh: FV
Bác sĩ Phan Văn Thái điều khiển robot bóc tách khối u cho bệnh nhân - Ảnh: FV

Bệnh nhân: “Quá may mắn vì được tiếp cận công nghệ robot ngay tại Việt Nam”

Ngồi chờ vợ trước cửa phòng mổ, ông M. cho biết mình trải qua khoảng thời gian căng thẳng tột độ, và sau đó niềm vui vỡ oà. “Tôi từng nghĩ đến nhiều tình huống xấu, rất may mọi chuyện diễn ra rất tốt đẹp” - ông M. vui mừng bày tỏ.

ThS.BS CKII Phan Văn Thái - Trưởng khoa Ngoại Tổng quát, Bệnh viện FV
ThS.BS CKII Phan Văn Thái - Trưởng khoa Ngoại Tổng quát, Bệnh viện FV

Da Vinci Xi là hệ thống phẫu thuật robot với độ chính xác cao, ít xâm lấn, đã được triển khai với hơn 12.000 hệ thống tại các bệnh viện trên toàn thế giới. Bên cạnh yếu tố công nghệ, hiệu quả của phẫu thuật robot được quyết định bởi một hệ sinh thái chuyên môn đồng bộ, gồm đội ngũ bác sĩ được đào tạo chuyên sâu, quy trình vận hành chặt chẽ và hệ thống phòng mổ đạt chuẩn quốc tế JCI. Hiện công nghệ này được ứng dụng tại FV trong nhiều chuyên ngành, và ngày càng nhiều bệnh nhân chọn lựa, từ phẫu thuật lồng ngực, dạ dày - đại trực tràng, gan - mật - tụy, tiết niệu đến phụ khoa, ung thư…

Để được tư vấn về phẫu thuật bằng robot Da Vinci Xi, bạn đọc có thể liên hệ Bệnh viện FV tại địa chỉ số 6 Nguyễn Lương Bằng, phường Tân Mỹ (Quận 7 trước đây), TPHCM ĐT: (028) 3511 3333.

Châu Khoa

Nguồn: Bệnh viện FV

 

news_is_not_ads=
TIN MỚI